Porcelain Veneers in South Austin, TX
When you think of your favorite Hollywood celebrity, chances are one of the things you most admire about them is their flawless smile. It might surprise you to know that the possibilities they have had their smile enhanced with cosmetic dentistry are pretty good. Many celebrities have porcelain veneers, which can provide a beautiful smile free of imperfections in just a couple of dental appointments.
Veneers in South Austin, TX are not reserved for only the rich and famous. If you want to learn more about this permanent solution to covering up cosmetic flaws in your smile, we invite you to come in for an exam and a chat about veneers at our South Austin, TX dental clinic. Dr. Poonam Gokhale is experienced at combining the artistry and science of cosmetic veneers, and she would love to talk to you about giving you the smile of your dreams.
What Are Dental Veneers in South Austin, TX?
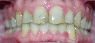
Porcelain Veneers in South Austin, TX are super-thin, translucent shields that are bonded to the teeth that show when you smile, concealing a range of dental flaws.
- Chipped teeth
- Discoloration or stains that are resistant to teeth whitening
- Smiles that reveal too much gum
- Height discrepancies between teeth, giving an uneven look
- Mildly crooked teeth
- Misshapen teeth
- Short, worn, or cracked teeth
- Small gaps between teeth
Dental veneers are no longer a well-kept secret reserved for the red carpet. You, too, can have a celebrity-caliber smile.
What Is the Veneers Process at West Creek Dental?
Since veneers in South Austin are bonded to your teeth, some of your tooth enamel has to be removed for the veneers to look natural; otherwise, your teeth will have a “thick” look to them. Since your teeth need to be treated first, veneers are a permanent cosmetic dentistry solution.
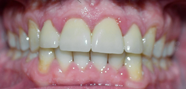
At your first veneers appointment, Dr. Gokhale, your dentist in South Austin, TX will prep your teeth, take impressions and measurements, then send this information to the lab where they will fabricate the veneers. Once the porcelain veneers are finished, you’ll return to our dental office. Before permanently bonding them to your teeth, Dr. Gokhale will make sure they feel comfortable and look flawless. Once you are satisfied with how they look and feel, Dr. Gokhale will attach the veneers using a special light to cure the bonding cement.
With proper care, your porcelain veneers in South Austin should last a decade or even longer.
Are Veneers the Right Cosmetic Dentistry Treatment for Me?
There’s no way to know the answer to that question until you undergo a full evaluation with Dr. Gokhale, your dentist in South Austin, TX. But the good news is that a vast majority of adults who already enjoy good oral health are likely good candidates for dental veneers. Any oral conditions, such as gum disease, will need to be addressed before you get the veneers.
At your dental appointment, Dr. Gokhale will go over the procedure and the expected outcomes, as well as answer any questions you might have about dental veneers.
Call our dental clinic in Austin, TX to find out more about porcelain veneers.
Updated June 13th, 2025