Smile Gallery
Nothing makes us happier than seeing the satisfied smiles of our patients. Please a look at some of our patients before and after their procedures to get an idea of what you can expect from our amazing team at West Creek Dental Center. See what an amazing difference your smile can make!


Our Austin, TX dental crowns and bridges restore teeth and complete smiles.
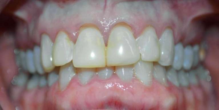
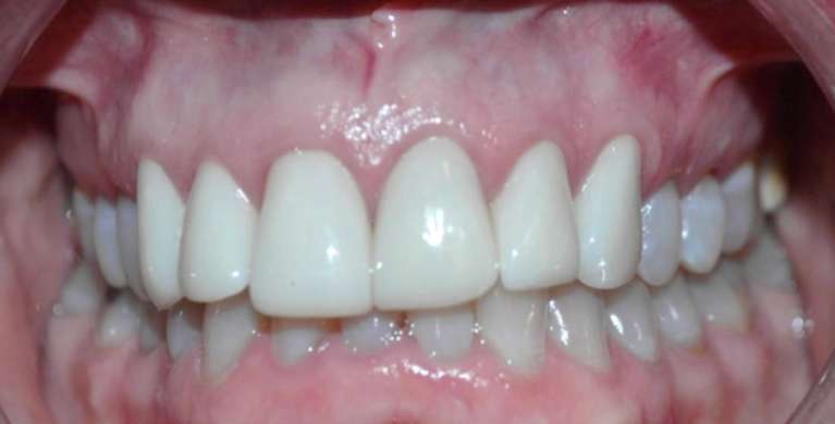
This patient was not happy with the appearance of the teeth and opted for beautiful dental crowns to conceal wear and discoloration.
Dental crowns are tooth caps that fit over treated teeth. They restore function to a weak tooth and leave you with a beautiful smile by concealing chips, discoloration, and more. And our crowns are always customized to work with your natural tooth shading or hues that complement your skin town for a natural-looking finish.
This treatment allowed the patient to smile with confidence again.
Considering Dental Crowns or Bridges ...


This patient presented with a chipped front tooth, and the patient and dentist went over the various options for correcting this issue and settled on a dental crown in South Austin, TX.
We took careful impressions of the tooth to create the dental crown, and a trusted lab used our findings to craft the custom restoration. We then treated the tooth and capped it. This tooth cap protects the tooth from further damage, restores bite, and improves confidence.
Contact Us for Tooth Crowns Near Me
Do you have a chipped tooth? Are you considering cosmetic dentistry? Give us a call to see how ...


This patient presented with broken and discolored front teeth that made them feel self-conscious about their smile. Their cosmetic dentist in South Austin, TX, recommended porcelain veneers to conceal tooth discoloration, repair chipping, and create a more uniform and aesthetically pleasing smile.
Covering the front four teeth with porcelain veneers allows this patient to smile with confidence again!
If you're interested in learning more about what South Austin, TX, porcelain veneers can do for your smile, contact West Creek Dental at (512) 394-7989 today.


This patient's main concern was the gap between their front teeth. Our dentist in South Austin, TX, recommended six porcelain veneers to create the brighter, more uniform smile they wanted.
Porcelain veneers in South Austin, TX, can conceal and eliminate problems like:
- Gaps and spaces between teeth
- Oddly shaped teeth, or tooth size discrepancies
- Tooth discoloration and staining
- Chipped or broken teeth
- Worn teeth
This patient was thrilled with their results; we can do the same for your smile!
Are you interested in learning more about what porcelain veneers can do for your teeth? Contact your team at West Creek Dental at (512) 394-7989 today to schedule ...


With porcelain veneers and dental crowns in South Austin, TX, we gave this patient a renewed sense of confidence with a more symmetrical, brighter smile.
Crowns cover a tooth entirely, while a veneer fits over its front surface to cover cosmetic flaws and improve its shape and shade. Your dentist in South Austin, TX, can use tooth crowns and veneers to redesign your smile into the one you've always wanted.
If you're not happy with your smile's appearance, your West Creek Dental team would love to discuss what's possible for you! Contact us at (512) 394-7989 to schedule an evaluation with ...


It's incredible the difference a few veneers can make!
This patient was unhappy with the appearance of their front teeth due to wear and discoloration. Our dentist in South Austin, TX, was able to cover their front teeth with porcelain veneers custom shaded to blend flawlessly with surrounding teeth and complement their smile.
With cosmetic dentistry in South Austin, TX, the possibilities are endless! If you've ever considered enhancing your smile, scheduling an evaluation with Dr. Gokhale is the first step. She'll learn your goals for your smile and create a plan for your smile that fits your budget and lifestyle.


This patient didn't like the gap between the two front teeth. So our cosmetic dentist recommended dental veneers in South Austin, TX.
Veneers are an excellent way to conceal smile flaws, including:
- Unusual spacing between teeth
- Short and worn teeth
- Gummy smiles
- General tooth flaws
- Mild misalignment
Looking for Veneers Near Me?
This patient was thrilled with their results! And we think you will too.
If you would like to learn more about our cosmetic dentistry, including veneers in South Austin, TX, call us!