West Creek Dental logo

Conceal Flaws With Veneers

This patient didn't like the gap between the two front teeth. So our cosmetic dentist recommended dental veneers in South Austin, TX

Veneers are an excellent way to conceal smile flaws, including:

  • Unusual spacing between teeth 
  • Short and worn teeth
  • Gummy smiles
  • General tooth flaws
  • Mild misalignment

Looking for Veneers Near Me?

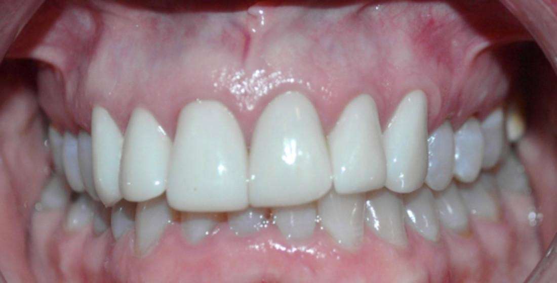
This patient was thrilled with their results! And we think you will too.

If you would like to learn more about our cosmetic dentistry, including veneers in South Austin, TX, call us!

Related Services:

Porcelain Veneers
Ready to book an appointment?
If you have difficulty using our website, please email us or call us at (512) 394-7989
View the ADA Accessibility Statement