West Creek Dental logo

Complete Your Smile With Dental Crowns

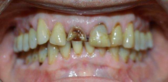
This patient presented with a chipped front tooth, and the patient and dentist went over the various options for correcting this issue and settled on a dental crown in South Austin, TX. 

We took careful impressions of the tooth to create the dental crown, and a trusted lab used our findings to craft the custom restoration. We then treated the tooth and capped it. This tooth cap protects the tooth from further damage, restores bite, and improves confidence. 

Contact Us for Tooth Crowns Near Me

Do you have a chipped tooth? Are you considering cosmetic dentistry? Give us a call to see how custom dental crowns in South Austin, TX, can improve the function and aesthetics of your smile

Related Services:

Dental Crowns and Bridges
Improve your smile today – call to schedule a consultation!
If you have difficulty using our website, please email us or call us at (512) 394-7989
View the ADA Accessibility Statement